口腔粘膜上皮細胞


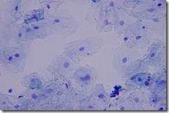
00071-01右の写真は人の口腔粘膜上皮細胞の顕微鏡写真です。撮影データは
対物レンズ x40 (0.120μm/pix 65.180倍)
ISO 200、SS 1/25
です。
 口腔粘膜上皮細胞は頬の内側の細胞で、この写真は私自身のものです。細胞の中心部分で青く染まっているのが細胞核です。細胞自身の大きさは100μm弱で、細胞核の大きさは卵形で11×7μmです。
これは顕微鏡観察としては比較的簡単です。その方法は
1.口を十分にゆすぐ。
2.頬の内側を小型のスプーンでなぞる。
3.スプーンに付いた上皮細胞をスライドグラスに取る。
4.十分に乾燥させる。(軽く火であぶって乾かすと良い)
5.メチレンブルーで染色する
  (1)乾燥した上皮細胞の端にメチレンブルーを1~2滴たらす。
  (2)スライドグラスを傾け、染色液がまんべんなく行渡るようにする。
  (3)2~3分、染色する
6.水で洗う
  (1)スライドグラスを傾け、メチレンブルーを流し落とす。
  (2)スライドグラスの上皮細胞の上流側にスポイトで水を数滴たらす。
  (3)メチレンブルーが流れ落ちたら、余分な水をふき取る。
7.水を1滴たらす
8.カバーグラスを掛ける。
9.検鏡する
です。

00071-02 上の口腔細胞は染色していますが、染色しないとどうなるでしょう?左の写真は上の染色作業を行わず、水で封入する代わりにグリセリンゼリーで封入したものです。グリセリンゼリーについては別稿で説明します。撮影データは
対物レンズ FlPLL40
接眼レンズ FK3.3
(0.0562μm/pix 135倍)
ISO 200  SS 1/20
です。
 上の写真に比べるとコントラストが非常に悪いことが判ります。細胞の大きさは、50μm程度で、中央に一応、核らしきものが確認できます。

口腔上皮細胞 上の染色していない口腔細胞をそのまま位相差顕鏡したものです。位相差顕微鏡については別稿で説明します。
撮影データは上と同じで、位相差にしただけで、
対物レンズ FlPLL40 接眼レンズ FK3.3 (0.0562μm/pix 135倍)
ISO 200  SS 1/13
です。
 上の写真に比べるとコントラストが非常によくなっています。細胞核もわかりますし、細胞の形状もはっきりとわかります。

00071-04 こちらは、別の口腔細胞を位相差顕鏡したものです。こちらは、細胞核の周りに幾つかの内容物を確認することができます。
撮影データは
対物レンズ PLL20
接眼レンズ FK3.3
(0.1136μm/pix)
ISO 200  SS 1/10
です。

00071-05【ポジティブコントラストとネガティブコントラスト】
 位相差対物レンズには屈折率の高いほうを暗くするポジティブコントラストのPLLタイプと屈折率の低いほうを暗くするネガティブコントラストのNHタイプとがあります。それぞれ、コントラストが逆になります。上の写真はPLLタイプで撮影した写真ですが、こちらに、NHタイプで同じ口腔粘膜上皮細胞を撮影した顕微鏡写真を示します。対象によって使い分ける必要がありますが、一般的に、細かい粒子のようなもの、例えばこの写真のように細胞内の細かい粒子を観察する場合にはネガティブコントラストが、広い面積のあるもの、例えば、上の写真のように細胞の原形質自体を観察する場合はポジティブコントラストが適しているといわれています。

( 2006年03月25日[土] )

コメントを残す

メールアドレスが公開されることはありません。 * が付いている欄は必須項目です

日本語が含まれない投稿は無視されますのでご注意ください。(スパム対策)

 このホームページは、小学生や中学生、そしてそのお父さんお母さんたちが、身近な動植物や星、太陽や月を観察したり、どこの家庭にでもあるような道具を使用して実験したり、ちょっとした工夫で科学がとても楽しくなるような、そういうホームページを目指しています。夏休みや冬休みの自由研究や科学実験の参考になれば幸いです。